Системы активной виброизоляции
Чувствительность прецизионных лабораторий к вибрации
В прецизионных лабораториях применяются приборы, способные фиксировать чрезвычайно малые изменения. Для примера можно взять электронный микроскоп. Он формирует изображение, направляя поток электронов на исследуемый объект и увеличивая его до сотен тысяч раз, что позволяет рассматривать структуру на уровне отдельных атомов. Но любая внешняя вибрация приводит к смещению траектории электронного пучка и искажает картинку. Эффект напоминает фотографию, сделанную дрожащими руками, когда изображение получается смазанным. При работе в наномасштабах даже крошечные колебания могут оказаться настолько значимыми, что полностью сведут на нет результаты эксперимента.
Чтобы минимизировать влияние вибраций, применяют специальные виброизолирующие столы. Они представляют собой массивную верхнюю плиту, установленную на системе, которая поглощает колебания. За счёт собственной массы платформа устойчива к перемещениям, а изолирующий механизм дополнительно снижает воздействие внешних вибраций. Различают два основных подхода:
- пассивную изоляцию, основанную на использовании пневматических опор,
- активную изоляцию, где работают датчики и исполнительные системы, компенсирующие колебания в реальном времени.
Пассивные системы хорошо справляются с ограниченными диапазонами частот, тогда как активные обеспечивают защиту в более широком спектре и показывают более высокую эффективность.
Пассивные средства виброизоляции показывают низкую эффективность при воздействии колебаний в области низких частот, а также при наличии вибраций с широким спектром. В подобных случаях всё более широкое распространение получают активные системы виброизоляции. Принцип их работы заключается в том, что дополнительный источник энергии используется для компенсации внешних возмущающих сил, вызывающих вибрации исследуемого объекта, либо его относительные смещения.
Основы активной виброизоляции
Вибрация в значительной степени способствует снижению производительности и снижению качества в высокотехнологичных секторах. Эффективная технология подавления вибрации повышает эффективность производства, улучшает качество продукции и продлевает срок службы оборудования. Внедрение этих систем на ранних этапах производства может значительно снизить процент дефектов, сократить затраты на техническое обслуживание и повысить производительность, что напрямую способствует повышению рентабельности.
Принцип работы: датчики, контроллеры, исполнительные механизмы
Активная система виброизоляции — это электронная система, которая использует датчики, контроллер и привод для противодействия вибрациям путем генерации противодействующей силы в режиме реального времени.
В отличие от пассивных систем, которые используют физические свойства пружин и амортизаторов для уменьшения вибраций, активные системы активно воспринимают вибрации и реагируют на них, обеспечивая значительно лучшее подавление, особенно на низких частотах. Они имеют решающее значение для таких чувствительных областей применения, как производство полупроводников и нанотехнологии, где требуются точные измерения и движения в нанометровом масштабе.
Как это работает?
Обнаружение: датчик (например, акселерометр) обнаруживает поступающие вибрации.
Обработка: контроллер анализирует сигнал вибрации.
Действие: контроллер посылает сигнал на исполнительный механизм, который создает противофазную силу, чтобы компенсировать вибрацию.
Контур обратной связи: этот процесс создает непрерывный контур обратной связи, который динамически настраивается для минимизации нежелательных вибраций.
Алгоритмы управления: обратная связь, предиктивные методы, гибридные решения
Ключевые компоненты
- Датчики — предназначены для точного обнаружения вибраций и микроколебаний, возникающих как от внешних, так и от внутренних источников. Они непрерывно фиксируют изменения положения и ускорения платформы, обеспечивая систему актуальными данными в реальном времени.
- Контроллер — интеллектуальный блок управления, который получает информацию от датчиков, анализирует её и рассчитывает необходимые корректирующие действия. Его алгоритмы работают в реальном времени, что позволяет мгновенно реагировать на изменения и предотвращать передачу вибрации к установленному оборудованию.
- Исполнительные механизмы — это устройства (например, электромагнитные или пьезоэлементы), которые создают компенсирующее усилие. Они вырабатывают движение или противодействующую силу в нужном направлении, чтобы нейтрализовать вибрации и стабилизировать платформу.
Этот алгоритм работы позволяет контролировать вибрации в шести степенях свободы.
В активных системах виброизоляции используются датчики и исполнительные механизмы, которые позволяют отслеживать и компенсировать колебания сразу в шести направлениях. Три из них связаны с линейными перемещениями по осям X, Y и Z, а ещё три — с вращательными движениями: наклоном, креном и рысканием.
Диапазон частот и точность подавления вибраций
Пассивная система виброизоляции обычно имеет собственную частоту от 1,5 до 10 Гц, что позволяет передавать и усиливать вибрации пола в низкочастотном диапазоне.
Активная система виброизоляции преодолевает этот недостаток за счет снижения собственной частоты системы до уровня ниже герца. Следовательно, активные системы виброизоляции не подвержены резонансу и могут эффективно снижать низкочастотные вибрации.
Наша активная система виброизоляции начинает снижать вибрации при 0,5 Гц, достигая 90% изоляции при 2 Гц.
Сравнение работы систем с пассивной и активной виброизоляцией
Применение активной виброизоляции
Микроскопия
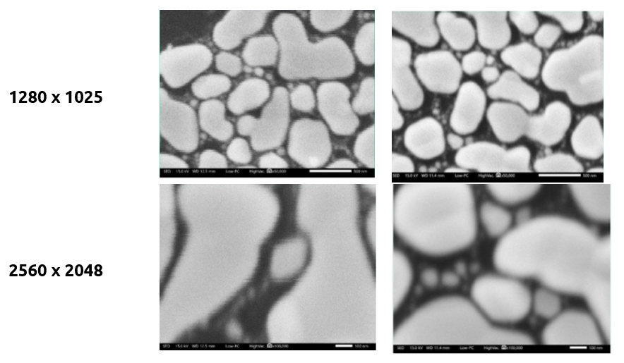
Разрешающая способность современных микроскопов составляет порядка ангстремов, поэтому даже очень небольшие вибрационные возмущения могут повлиять на качество изображения. Кроме того, время получения изображения может занимать время, поэтому этим микроскопам требуется среда, практически полностью свободная от вибрации пола.
Микроскопы, установленные на платформы активной виброизоляции
Влияние вибраций на сканирующую зондовую и электронную микроскопию
Пассивные системы виброизоляции, такие как массивные бетонные плиты, пневматические опоры, способны эффективно подавлять часть высокочастотного спектра этих возмущений. Однако они бессильны против низкочастотных колебаний, которые проявляются как медленный дрейф или потеря фокуса изображения.
Достижение высокого пространственного разрешения благодаря платформам с активной виброизоляцией
Настольная система активной виброизоляции
Сделайте микроскопию проще, чем когда-либо прежде
Plug N Play решения от компаний DAEIL SYSTEMS и LBTEK, достаточно лишь электропитания использования активной системы виброизоляции.
АО «ЛЛС» предлагает настольные системы активной виброизоляции для электронной микроскопии от DAEIL SYSTEMS (Южная Корея) и LBTEK (Китай).
40% - 80% виброизоляция при 1 Гц
≥90% виброизоляция при ≥2 Гц
60% виброизоляция при 2 Гц
90% виброизоляция при 5 Гц
99% виброизоляция при 10 Гц
Также настольная система активной виброизоляции, может использоваться для:
- Атомно-силовая микроскопии
- Флуоресцентной микроскопии
- Сканирующей зондовой микроскопии
- 3D оптической микроскопии
- Оптической микроскопии с нанометровым разрешением
- Цифровой голографической микроскопии
- Профилометрии
- Интерферометрии
- Измерении шероховатости поверхности
Криостаты и низкотемпературные исследования
Криостат — это вакуумная изолированная среда, предназначенная для охлаждения образцов с помощью жидких криогенных веществ, таких как азот или гелий, или механического охладителя. Независимо от того, работаете ли вы с криоэлектронными микроскопами, спектрометрами или квантовыми компьютерами, поддержание низкой температуры и отсутствие вибрации в системах является ключом к получению надежных результатов с высоким разрешением.
Проблема вибраций в криогенных установках
Криостаты являются очень большими и тяжелыми приборами, поэтому обычно требуется специальная подготовка места установки. Монтаж крупной установки на отдельные пластины серии DVIA-U активной виброизоляции обеспечивает простоту и гибкость компоновки без необходимости сложных строительных доработок, а также облегчает обслуживание и возможное перемещение установки. Система начинает работать в сверхнизкочастотном диапазоне от 0.5 Гц, достигая уровня максимальной производительности свыше 90 % при 4 Гц.
Стабильность измерений и работа квантовых вычислительных систем
В настоящее время очень распространенным применением криостатов и холодильников является квантовое вычисление. Квантовые компьютеры должны быть защищены от всех источников вибрации. В криостатах с нижней загрузкой холодильник подключается непосредственно к образцу, поэтому контроль вибрации представляет собой сложную задачу.
Одним из решений является использование гибких муфт для отвода большей части вибрации на пол. Затем прибор можно изолировать от вибрации пола с помощью активной изоляции, такой как платформы серии DVIA-U.
Серия DVIA-U представляет собой модульную низкопрофильную платформу активной виброизоляции, предназначенную для поддержки оборудования различных размеров и форм.
≥90% виброизоляция при ≥4 Гц
Производство микроэлектроники и интегральной оптики
В полупроводниковой промышленности время — это деньги. Это означает, что необходимо загружать пластину в систему, печатать узор почти в 100 разных местах, а затем выгружать пластину до 275 раз в час.
Практика показывает, что для сканеров первым «этажом» служат пневмо-опоры, далее — инерциальные активные платформы (например, классы, заявляющие до 60 дБ подавления на 2 Гц), а далее — точная динамика самих столов и оптики. Именно эта комбинация позволяет удерживать стабильность наложения в единицы нанометров в работающем цехе.
Применение активных систем на предприятиях полупроводниковой индустрии
Система в первую очередь предназначена для изоляции прецизионного микролитографического, метрологического и контрольного оборудования на передовых полупроводниковых заводах, но может использоваться в любых условиях, требующих чрезвычайно высокого уровня виброизоляции.
Предназначено для полупроводникового измерительного оборудования
В серию DVIA-P встроены усовершенствованные алгоритмы обратной связи и упреждающего управления вибрацией, обеспечивающие 40–70 % при 2 Гц в шести степенях свободы.
Датчики положения непрерывно измеряют положение изолирующей системы, а затем поддерживают ее положение. В результате точность положения системы значительно улучшается. Кроме того, акселерометры мгновенно обнаруживают вибрации, исходящие от пола или движущихся платформ, а затем передают сигнал для управления пневматическими приводами, чтобы компенсировать вибрации.
40–70 % виброизоляция при 2 Гц
≥90 % виброизоляция при ≥4 Гц
Контроль вибрации для инкубаторов клеточных культур
Метод культивирования клеток широко используется в биологии для получения и поддержания жизнеспособных клеток определённых типов. При работе с клеточными культурами особое внимание уделяется стерильности: все процедуры выполняются в ламинарных шкафах, а инструменты и материалы предварительно проходят обработку.
После подготовки клетки переносят в инкубатор, где создаются строго контролируемые условия для их роста. Так, например, культуры млекопитающих чаще всего содержат в CO₂-инкубаторах при температуре 37 °C, высокой влажности и концентрации углекислого газа в пределах 5–7 %, что максимально приближено к естественной среде внутри организма.
Казалось бы, этого достаточно для успешного культивирования, однако в последние годы стало ясно, что есть и другие факторы риска. Одним из них являются вибрации, которые могут негативно сказываться на стабильности инкубаторов. Колебания могут возникать как из-за внутренних элементов оборудования — вентиляторов или систем нагрева с водяной циркуляцией, — так и извне, поступая из окружающей среды.
Проблема влияния вибраций давно известна в таких областях, как производство полупроводников, фотоника и высокоточная микроскопия — там её учитывают уже более полувека. Именно поэтому поставщики оборудования в этих сферах обычно предъявляют строгие требования к уровню вибраций в помещениях, где устанавливается их техника. В случае же с инкубаторами подобные стандарты почти не применяются, хотя необходимость в них очевидна.
Некоторые производители инкубаторов начинают осознавать масштабы этой проблемы.
Так, один из них отмечает: «Колебания инкубатора могут приводить к необычным паттернам роста в культуральных сосудах. Особенно заметно это на этапе, когда клетки пытаются прикрепиться к поверхности после засевания. В условиях вибрации клетки смещаются либо к краям, либо к центру чашки, иногда формируя концентрические кольца. На рисунке представлена подобная картина в культуре эмбриональных фибробластов цыплёнка».
Пример формирование концентрических колец и стоячих волн в клетках культивируемых без виброизоляции
Как можно справиться с вибрацией?
В условиях стандартной лаборатории для культивирования клеток источниками вибрации могут быть разные приборы и системы. Помимо встроенного вентилятора самого инкубатора, колебания нередко вызывают соседние устройства — например, центрифуги, холодильники или морозильники, которые периодически включаются и выключаются, а также системы вентиляции и кондиционирования. Полностью исключить вибрацию от вентилятора не всегда реально из-за особенностей его конструкции и расположения двигателя. Так как проблема часто связана с явлением резонанса, иногда помогает изменение частоты работы оборудования — например, установка дополнительного груза на один из углов инкубатора. Однако такой подход сопряжён с риском загрязнения среды, поэтому требует дополнительных мер предосторожности.
Хотя такие приёмы могут частично снизить негативное влияние колебаний, более надёжным и современным решением является полная изоляция инкубатора от внешних вибраций. Для этого его устанавливают на специализированные антивибрационные платформы, которые значительно повышают стабильность условий культивирования.
В данном случае два инкубатора были установлены друг на друга и размещены на специальной виброизолирующей платформе. В основе её работы лежат подвесные воздушные изоляторы поршневого типа, которые эффективно уменьшают передачу колебаний от пола, возникающих из-за работы окружающего оборудования.
Когда речь идёт о ценных клеточных культурах, минимизация любых рисков имеет первостепенное значение. Поэтому применение специализированных решений для виброизоляции позволяет защитить инкубаторы и обеспечить стабильность условий экспериментов.
Заключение
В заключение стоит подчеркнуть, что чувствительные приборы особенно восприимчивы к вибрационным воздействиям, поскольку они работают с объектами нанометрового масштаба. Даже слабые колебания способны исказить данные и поставить под сомнение достоверность результатов. Поэтому надежная система подавления вибраций является ключевым условием стабильной работы и высокой точности экспериментов. Современные решения компании DAEIL SYSTEMS и LBTEK помогают создавать оптимальные условия для научных исследований, обеспечивая точность измерений и способствуя появлению новых достижений в науке и технологиях.
Автор статьи: Кирилл Стеховский, группа «Оптика и оптомеханика»
Анонсы статей, мероприятий и еще больше научно-познавательного контента по ссылке в нашем Telegram-канале.
